HOME
ENTRETENIMENTO
NOTÍCIAS
AGENDA
JORNAL IMPRESSO
ESPORTE
PLANTÃO POLICIAL
CONTATO
NOTÍCIAS
SANTA CATARINA
Bebê nasce em SC com anticorpos contra a Covid, dizem médicos
Mãe, que é médica, recebeu vacina contra a doença com 34 semanas de gestação. Presença de anticorpos no recém-nascido foi confirmada por teste de neutralização SARS-COV-2: 'Dose de esperança a todos'.
SÃO PAULO
Butantan entrega 1,1 milhão de doses da CoronaVac ao Ministério da Saúde e paralisa produção da vacina por falta de matéria-prima
Instituto libera nesta sexta (14) último lote de vacinas produzidas a partir do insumo recebido em abril. Fábrica assume produção de vacina da gripe enquanto espera a chegada dos 10 mil litros do IFA que ainda não têm autorização do governo chinê
Vacinas da Pfizer
Vacinas da Pfizer começam a ser distribuídas no Brasil: imunização será em duas doses com intervalo de 21 dias
RIO LIBERA PARIAS
Paes libera praias nos dias úteis e suspende escalonamento de setores não essenciais
Novas medidas entram em vigor no primeiro minuto deste sábado (24).
Regional
Mobilização ajuda a encontrar ciclista desaparecida em Araxá
Mulher desapareceu no domingo (18), e foi encontrada no final da manhã desta segunda-feira (19). Em depoimento ela disse que tomou remédio controlado para a depressão antes de sair de casa.
CPI da Pandemia
Omar Aziz diz que CPI da Pandemia não terá o objetivo de 'perseguir A ou B'
Senador do PSD, cotado para presidir a comissão, fez críticas à postura do governo durante a pandemia. Provável relator, Renan disse que CPI atuará com isenção e não acabará em 'pizza'.
Caso Henry
Veja como foram as agressões de Jairinho a Henry segundo relatos da babá para Monique
Novo depoimento de Thayná Ferreira deu mais detalhes da tarde de 12 de fevereiro, quando o menino apareceu mancando.
CORONAVÍRUS
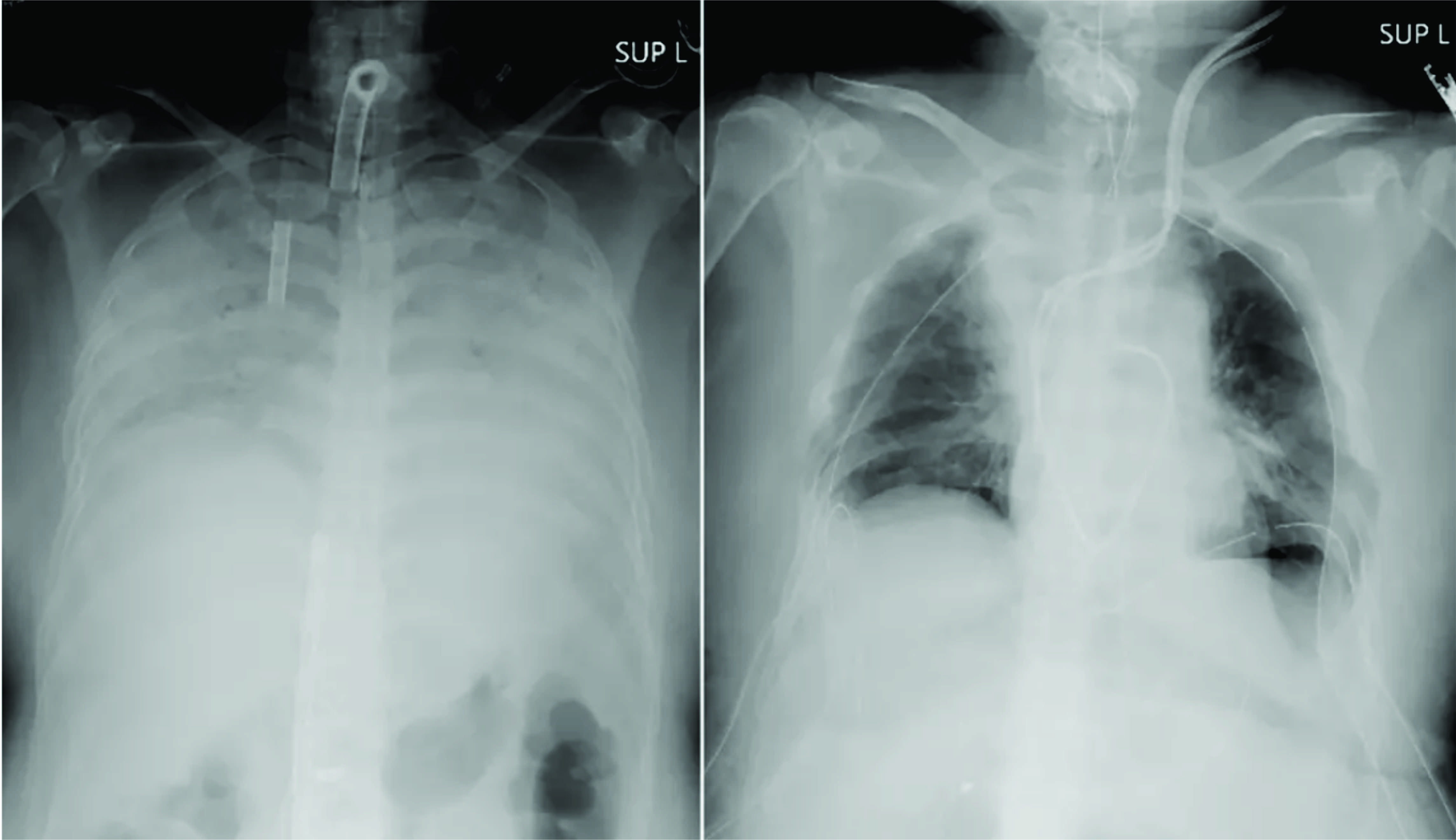
Paciente com Covid-19 recebe transplante de pulmão de doadores vivos
Japoneses anunciaram o 1º transplante mundial de tecido pulmonar de doadores vivos para uma paciente com grave lesão pulmonar causada pelo novo coronavírus.
RIO DE JANEIRO
Polícia prende Dr. Jairinho e mãe de Henry pela morte do menino e diz que ela sabia das agressões
Investigadores afirmam que vereador, padrasto do menino, agredia a criança e que a mãe sabia disso desde fevereiro. Casal é suspeito de atrapalhar as investigações e de ameaçar testemunhas para combinar versões.
RIO DE JANEIRO
Polícia prende Dr. Jairinho e mãe de Henry pela morte do menino e diz que ela sabia das agressões
Investigadores afirmam que vereador, padrasto do menino, agredia a criança e que a mãe sabia disso desde fevereiro. Casal é suspeito de atrapalhar as investigações e de ameaçar testemunhas para combinar versões.
VACINAS
Covid-19: Sabiazinho será ponto de vacinação em Uberlândia a partir desta quarta-feira
Serão vacinados no novo local e no UTC os idosos que vão receber a 1ª dose. Início da aplicação da 2ª dose na população vacinada no dia 16 de março será no drive-thru do Centro Administrativo.
AMAZONAS
Festival em barco de luxo é flagrado com mais de 60 turistas no rio Amazonas, em Manaus
Com duração de cinco dias, evento prometia imersão na floresta amazônica, com roteiros culturais e festas. Valor dos ingressos chegava a R$ 11,7 mil.
VACINA
Manaus inicia vacinação de adultos entre 45 e 49 anos com doenças preexistentes
Recebem a vacinação também idosos com 60 anos ou mais e agentes de segurança pública.
VACINAS
Anvisa convoca 11 governadores para discutir problemas em liberação de vacina russa
Ideia no órgão regulador é que grupo mude direção da pressão e ajude a obter, junto à empresa, os dados técnicos pendentes sobre a Sputnik V Este trecho é parte de conteúdo que pode ser compartilhado utilizando o link https://valor.globo.com/br
POLITICA
Pesquisa XP/Ipespe: Lula e Bolsonaro aparecem empatados na corrida presidencial de 2022
Mas segundo levantamento realizado no fim de março, petista aparece um ponto percentual à frente do presidente Bolsonaro
<<
3
4
5
6
7
8
>>
PUBLICIDADE
QUEM SOMOS
MAPA DO SITE
PARCEIROS
LOGIN
WEBMAIL
Jornal Regionall de Perdizes - www.jornallregionall.com.br - Todos os direitos reservados - 2017